HOMBRO POST-QUIRURGICO.
Determinar la calidad de la cabeza humeral, es muy importante para planear una cirugía de manguito. Debe valorarse la presencia de edema oseo, quistes subcondrales, etc. (16). (Fig 157).
Los procedimientos mas frecuentemente realizados son la descompresión subacromial por pinzamiento externo, la reparación del manguito rotador y la inestabilidad glenohumeral. Pueden ser valorados con las distintas modalidades, siendo otra vez la ArtroRM la prueba de elección. (29).
Los cambios incluyen alteración en la morfología del acromión y el ligamento coracoacromial y aumento de la distancia acromioclavicular. (29). (Fig 158).
En el manguito reparado se aprecia irregularidad del tendón y señal baja o intermedia, por la cicatrización y fibrosis. (29). (Fig 159 y 160).

Fig 157. Valoración Pre Qx.
A: Rx AP y B: RM coronal en STIR. Calcificaciones sobre la topografía del tendón supraespinoso, por tendinitis crónica. Sobre la tuberosidad mayor se aprecia imagen radiolúcida y de aspecto benigno, que corresponde a lesión quística confirmada con la RM.

Fig 158. Cambios PostQx.
A: Rx AP. Remodelación del acromión, por acromioplastia. Se aprecia material Qx, por reconstrucción del manguito rotador.
B: RM sagital en T2. Aumento del espacio acromioclavicular como resultado PostQx. Existe ruptura parcial del tendón del supraespinoso, el cual es hiperintenso y está adelgazado. (Flecha gruesa).

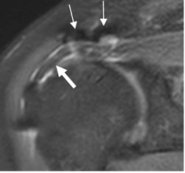
Fig 159. Cambios PostQx.
RM coronal en STIR. Cambios PostQx en la articulación acromioclavicular, que producen artefactos. (Flechas delgadas). Signos de tendinitis del supraespinoso, el cual está adelgazado y rodeado por líquido. (Flecha gruesa).

Fig 160. Cambios PostQx.
A: Rx AP. Material Qx por reconstrucción del manguito rotador.
B: RM coronal en T2. Reconstrucción de lesión del manguito, con un tendón del supraespinoso engrosado e hiperintenso, por tendinitis crónica. (Flecha delgada). Se aprecian artefactos metálicos. (Flecha gruesa).
| Fecha de creación | Marzo 1 de 2011 |
| Fecha de actualización | Octubre 8, 2011 |